Home » Without Label » Angioimmunoblastic T-Cell Lymphoma : Angioimmunoblastic T-Cell Lymphoma : The first signs of alarm for any lymphoma are raised when doctors find an unusual number of blood cells through an (often routine) blood test.
Angioimmunoblastic T-Cell Lymphoma : Angioimmunoblastic T-Cell Lymphoma : The first signs of alarm for any lymphoma are raised when doctors find an unusual number of blood cells through an (often routine) blood test.
Angioimmunoblastic T-Cell Lymphoma : Angioimmunoblastic T-Cell Lymphoma : The first signs of alarm for any lymphoma are raised when doctors find an unusual number of blood cells through an (often routine) blood test.. It is slightly more common in men than in women. There is a slight male predominance. You may need to register to view the medical textbook, but registration is free. It is a clinically aggressive lymphoma and seen mainly in older adults. Treatment can be challenging owing to frequent relapses after initial and subsequent therapy.
You may need to register to view the medical textbook, but registration is free. The first signs of alarm for any lymphoma are raised when doctors find an unusual number of blood cells through an (often routine) blood test. The median survival period is reported to be between 1 to 2.5 years. Medscape reference provides information on this topic. Angioimmunoblastic t cell lymphoma (aitl) is a peripheral t cell lymphoma characterized by systemic disease, a polymorphous infiltrate involving lymph nodes, and a prominent proliferation of high endothelial venules and follicular dendritic cells (who 2008)
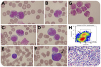
Angioimmunoblastic T Cell Lymphoma - 8. from imagebank.hematology.org The prognosis is generally poor. We present a case of aitl that went into spontaneous remission, an uncommon occurrence. It is slightly more common in men than in women. The history of aitl is much longer and deeper than the literature would suggest given the many names that have preceded it. Angioimmunoblastic t cell lymphoma (aitl) is a peripheral t cell lymphoma characterized by systemic disease, a polymorphous infiltrate involving lymph nodes, and a prominent proliferation of high endothelial venules and follicular dendritic cells (who 2008) The median survival period is reported to be between 1 to 2.5 years. Patients often present with a variety. Treatment options patients with aitl may be treated with a steroid that can temporarily relieve the symptoms caused by the immune system's reaction to the cancer cells, such as joint inflammation or pain and skin rash.
It is a clinically aggressive lymphoma and seen mainly in older adults.
The prognosis is generally poor. Patients often present with a variety. The first signs of alarm for any lymphoma are raised when doctors find an unusual number of blood cells through an (often routine) blood test. It is a clinically aggressive lymphoma and seen mainly in older adults. It sometimes causes a rash. It is slightly more common in men than in women. There is a slight male predominance. Atcl is more common in the elderly, and the average age at diagnosis is 62. Nodal lymphomas are restricted to lymph nodes, and generally do not enter the blood stream, until later stages of the disease lymphoma is a type of blood cancer stemming from uncontrollably dividing lymphocytes (type of white blood cells). Treatment can be challenging owing to frequent relapses after initial and subsequent therapy. Medscape reference provides information on this topic. Angioimmunoblastic t cell lymphoma (aitl) presents in older patients and the median age at diagnosis is approximately 60. Angioimmunoblastic t cell lymphoma (aitl) is a peripheral t cell lymphoma characterized by systemic disease, a polymorphous infiltrate involving lymph nodes, and a prominent proliferation of high endothelial venules and follicular dendritic cells (who 2008)
Clinical manifestations are typical of lymphoma and may include the following: Patients often present with a variety. It sometimes causes a rash. The monarch initiative brings together data about this condition from humans and other species. There is a slight male predominance.
Immunoblastic Lymphadenopathy; Angioimmunoblastic ... from i.ytimg.com You may need to register to view the medical textbook, but registration is free. The history of aitl is much longer and deeper than the literature would suggest given the many names that have preceded it. It is a clinically aggressive lymphoma and seen mainly in older adults. The first signs of alarm for any lymphoma are raised when doctors find an unusual number of blood cells through an (often routine) blood test. Angioimmunoblastic t cell lymphoma (aitl) is a peripheral t cell lymphoma characterized by systemic disease, a polymorphous infiltrate involving lymph nodes, and a prominent proliferation of high endothelial venules and follicular dendritic cells (who 2008) Medscape reference provides information on this topic. Nodal lymphomas are restricted to lymph nodes, and generally do not enter the blood stream, until later stages of the disease lymphoma is a type of blood cancer stemming from uncontrollably dividing lymphocytes (type of white blood cells). We present a case of aitl that went into spontaneous remission, an uncommon occurrence.
Treatment options patients with aitl may be treated with a steroid that can temporarily relieve the symptoms caused by the immune system's reaction to the cancer cells, such as joint inflammation or pain and skin rash.
The median survival period is reported to be between 1 to 2.5 years. Medscape reference provides information on this topic. It sometimes causes a rash. Treatment options patients with aitl may be treated with a steroid that can temporarily relieve the symptoms caused by the immune system's reaction to the cancer cells, such as joint inflammation or pain and skin rash. Nodal lymphomas are restricted to lymph nodes, and generally do not enter the blood stream, until later stages of the disease lymphoma is a type of blood cancer stemming from uncontrollably dividing lymphocytes (type of white blood cells). It is a clinically aggressive lymphoma and seen mainly in older adults. Treatment can be challenging owing to frequent relapses after initial and subsequent therapy. The first signs of alarm for any lymphoma are raised when doctors find an unusual number of blood cells through an (often routine) blood test. Atcl is more common in the elderly, and the average age at diagnosis is 62. Clinical manifestations are typical of lymphoma and may include the following: The monarch initiative brings together data about this condition from humans and other species. There is a slight male predominance. Angioimmunoblastic t cell lymphoma (aitl) presents in older patients and the median age at diagnosis is approximately 60.
The first signs of alarm for any lymphoma are raised when doctors find an unusual number of blood cells through an (often routine) blood test. Clinical manifestations are typical of lymphoma and may include the following: Treatment options patients with aitl may be treated with a steroid that can temporarily relieve the symptoms caused by the immune system's reaction to the cancer cells, such as joint inflammation or pain and skin rash. Angioimmunoblastic t cell lymphoma (aitl) presents in older patients and the median age at diagnosis is approximately 60. You may need to register to view the medical textbook, but registration is free.
Angioimmunoblastic T Cell Lymphoma - 13. from imagebank.hematology.org Medscape reference provides information on this topic. Treatment can be challenging owing to frequent relapses after initial and subsequent therapy. The monarch initiative brings together data about this condition from humans and other species. It is a clinically aggressive lymphoma and seen mainly in older adults. Atcl is more common in the elderly, and the average age at diagnosis is 62. It is slightly more common in men than in women. We present a case of aitl that went into spontaneous remission, an uncommon occurrence. Treatment can be challenging owing to frequent relapses after initial and subsequent therapy.
Angioimmunoblastic t cell lymphoma (aitl) is a peripheral t cell lymphoma characterized by systemic disease, a polymorphous infiltrate involving lymph nodes, and a prominent proliferation of high endothelial venules and follicular dendritic cells (who 2008)
Treatment options patients with aitl may be treated with a steroid that can temporarily relieve the symptoms caused by the immune system's reaction to the cancer cells, such as joint inflammation or pain and skin rash. The monarch initiative brings together data about this condition from humans and other species. The prognosis is generally poor. Angioimmunoblastic t cell lymphoma (aitl) presents in older patients and the median age at diagnosis is approximately 60. Patients often present with a variety. It is a clinically aggressive lymphoma and seen mainly in older adults. Angioimmunoblastic t cell lymphoma (aitl) is a peripheral t cell lymphoma characterized by systemic disease, a polymorphous infiltrate involving lymph nodes, and a prominent proliferation of high endothelial venules and follicular dendritic cells (who 2008) Medscape reference provides information on this topic. Nodal lymphomas are restricted to lymph nodes, and generally do not enter the blood stream, until later stages of the disease lymphoma is a type of blood cancer stemming from uncontrollably dividing lymphocytes (type of white blood cells). It is slightly more common in men than in women. Treatment can be challenging owing to frequent relapses after initial and subsequent therapy. Atcl is more common in the elderly, and the average age at diagnosis is 62. The history of aitl is much longer and deeper than the literature would suggest given the many names that have preceded it.